Veneers
Want to refine chips, cracks, stains, and other cosmetic concerns without breaking your budget?
Veneers in Los Algodones and Mexicali, MX, are far more affordable than they are in the US and Canada — and our high standards at Simply Dental ensure you still get the same caliber of care.
See If Veneers Are Right for You
From Anywhere in the World

Though our offices are conveniently located right across the border, patients don't need to visit us until they're ready for their custom veneers. That's because we make your experience easier with free virtual consultations.
During a virtual consultation, you can meet with our team to determine if you’re a good candidate for veneers. This also allows you to meet our dentists and see how our high-tech practice has earned the trust of so many patients like you.
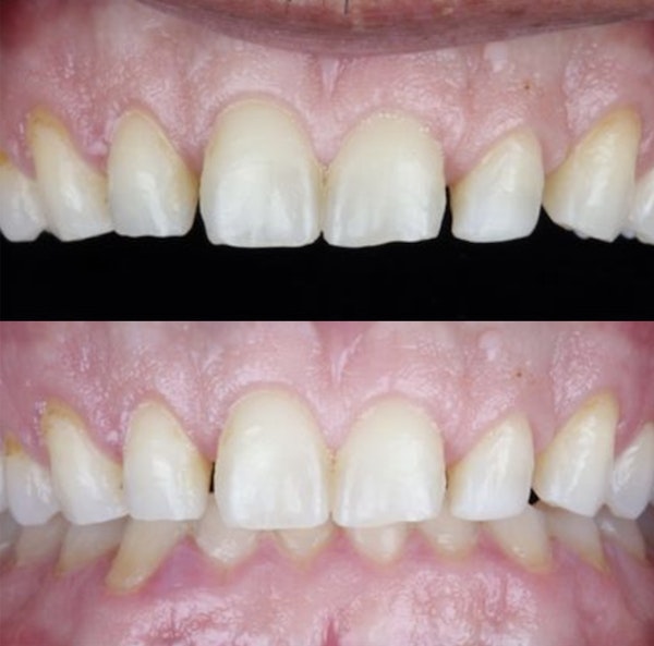
Real Patients, Stunning Results This Patient Chose Veneers in Los Algodones, MX
We Make Veneers in Los Algodones the Clear Choice
In-House Dental Lab
No need to outsource here. Our Los Algodones dentists have a state-of-the-art lab to create restorations like veneers, dental crowns, and more on-site.
Trusted Affiliations
Want a practice that has the same reputable affiliations as your dentist back home? We proudly maintain affiliations with the American Dental Association (ADA), American Academy of Implant Dentistry (AAID), and more.
Diverse Specialties
Whether you visit our dental clinic in Los Algodones or Mexicali, you'll work with a highly trained team. Our dentists have a wide range of specialties, like prosthodontics and cosmetic dentistry. This allows us to match the right professional to the right dental treatments.
Save on Your Dental Care With Our Specials
Though our veneers are already more affordable than dental work in the United States and Canada, we go the extra mile to make cosmetic dentistry budget-friendly. We run occasional promotions on popular treatments, including veneers.
“I highly recommend Simply Dental.” We Earn 5-Star Reviews
I had several procedures done between two dentists. I cannot express enough how excellent the service was from beginning to end. Dr. Arellano explained every step and was so kind. It helped to make me feel comfortable and confident in the work that was being done . Dorin was my first contact and she too was amazing! The front desk receptionists were also professional, kind and efficient… I will be back and will be a source of referral for Simply Dental.
View On GoogleI have been customer of Simply Dental since 2017. They have been always really professional and the best in their service. The facility is really clean, all the equipment is high tech. I definitely prefer dentists here compare to USA, they get the job done without all the B.S. I highly recommend Simply Dental to all my friends.
View On Google






